中文版  |   English  |   加入收藏  |   客服热线:400-0532-596
海博微信公众号
海博天猫旗舰店
培养基
所在位置:产品中心-> 质控菌株-> 乙型副伤寒沙门氏菌CMCC(B)50094(定量)

乙型副伤寒沙门氏菌CMCC(B)50094(定量)

英文名称:
产品货号:HBJZDL020
产品规格:110-1100CFU/球*10支/盒
产品价格:2000元
保质期:一年
产品用途:该产品是一种含一定数量微生物的冻干品。作为定量的质量控制样本
备  注:

产品介绍:

【包装规格】 110-1100CFU/球*10支/盒

【预期用途】 该产品是一种含一定数量微生物的冻干品。作为定量的质量控制样本。

【主要组成成份】 主要成分为菌种及冻干保护剂。

菌种来源:标准菌株的供应商是国际和国家菌种保藏中心,传代次数:≤4

【储存条件及有效期】 -20℃及以下,有效期12个月

【使用方法】

1.平板涂布法:

(1)使用前将未开启的西林瓶平衡至室温。

(2)无菌操作打开定量菌株瓶塞,用移液器吸取1.1mL复溶液加入西林瓶中,盖上瓶塞,涡旋震荡510s,使小球完全溶解。

(3)用移液器吸取100 μL菌液至待检培养基和对照培养基,用涂布棒涂布均匀。

(4)将平板倒置,置于适宜的条件下培养。

2.液体接种或倾注平皿法:

(1)使用前将未开启的西林瓶平衡至室温。

(2)无菌操作打开定量菌株瓶塞,用移液器吸取1.1mL复溶液加入西林瓶中,盖上瓶塞,涡旋震荡510s,使小球完全溶解。

(3)用移液器吸取1mL菌液,加入9mL无菌生理盐水中,混匀。

(4)吸取上述菌液,加至待检液体培养基及计数或参比培养基中,置于适宜的条件下培养。或加至无菌空平皿中,注入15mL~20mL温度不超过46℃的已融化的待检培养基,混匀,待培养基凝固后,用5mL培养基覆盖,凝固后倒置培养。

乙型副伤寒沙门氏菌CMCC(B)50094(定量)鉴定结果:

1.XLD平板和沙门氏菌显色平板上的菌落特征:

XLD平板:为较大的黑色中心,几乎呈现全部黑色的菌落,结果如图1所示。

沙门氏菌显色平板:为紫色菌落,结果如图2所示。



图1 在XLD平板上的菌落特征
图2 在沙门氏菌显色平板上的菌落特征

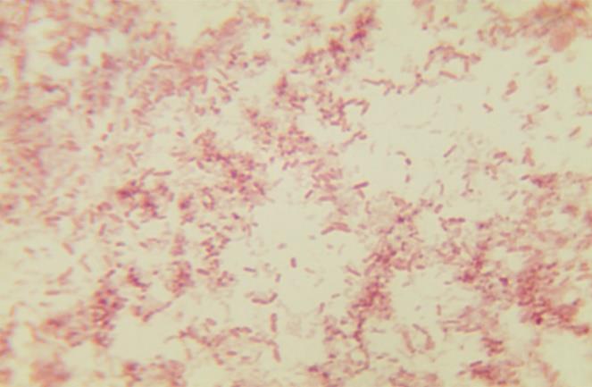
2.革兰氏染色镜检:革兰氏阴性杆菌。


图3 革兰氏染色镜检

3.博检革兰氏阴性细菌鉴定系统生化检测:沙门氏菌。


图4 博检革兰氏阴性细菌鉴定系统生化检测结果

【产品性能指标】

该产品是一种含有一定数量微生物的冷冻干燥的水溶球。该球为白色近似球体。经培养应无杂菌生长。

【相关资料】

定量菌株说明书 点击查看

青岛海博-关于菌种销售的声明 点击查看


定量菌株同名产品推荐:

乙型副伤寒沙门氏菌CMCC(B)50094(定量)相关产品:

产品货号产品名称产品规格产品说明及用途
HBJZ131-1 黑曲霉菌ATCC16404(冻干)
主要用于阳性对照反应和培养基质量控制等实验
HBJZ140 新洋葱伯克霍尔德菌CMCC(B)23006(冻干)
主要用于阳性对照反应和培养基质量控制等实验
HBJZ141 神秘伯克霍尔德菌CMCC(B)23010(冻干)
主要用于阳性对照反应和培养基质量控制等实验
HBJZDL020-1 乙型副伤寒沙门氏菌CMCC(B)50094(定量)
110-1100CFU/球*1支/盒 该产品是一种含一定数量微生物的冻干品。作为定量的质量控制样本
HBJZ134 枯草芽孢杆菌黑色变种ATCC9372(冻干)
主要用于阳性对照反应和培养基质量控制等实验
HBJZ112-2 黑曲霉CMCC(F)98003(二代斜面)
主要用于阳性对照反应和培养基质量控制等实验
HBJZ069-3 大肠埃希氏菌CMCC(B)44102(二代斜面)
主要用于阳性对照反应和培养基质量控制等实验
HBJZ068-2 白色念珠菌CMCC(F)98001(二代斜面)
主要用于阳性对照反应和培养基质量控制等实验
HBJZ061-2 金黄色葡萄球菌CMCC(B)26003(二代斜面)
主要用于阳性对照反应和培养基质量控制等实验
HBJZ020-2 乙型副伤寒沙门氏菌CMCC(B)50094(二代斜面)
主要用于阳性对照反应和培养基质量控制等实验
HBJZ018-3 枯草芽孢杆菌CMCC(B)63501(二代斜面)
主要用于阳性对照反应和培养基质量控制等实验
HBJZ051-2 金黄色葡萄球菌ATCC6538(二代斜面)
主要用于阳性对照反应和培养基质量控制等实验
HBJZ067-2 铜绿假单胞菌CMCC(B)10104(二代斜面)
主要用于阳性对照反应和培养基质量控制等实验
HBJZ079-2 生孢梭菌CMCC(B)64941(二代斜面)
主要用于阳性对照反应和培养基质量控制等实验
HBJZ081-2 白色念球菌ATCC10231(二代斜面)
主要用于阳性对照反应和培养基质量控制等实验
HBJZ086-2 大肠埃希氏菌ATCC8739(二代斜面)
主要用于阳性对照反应和培养基质量控制等实验
HBJZ105-2 铜绿假单胞菌ATCC9027(二代斜面)
主要用于阳性对照反应和培养基质量控制等实验
HBJZ131-2 黑曲霉ATCC16404(二代斜面)
主要用于阳性对照反应和培养基质量控制等实验
HBJZDL061 金黄色葡萄球菌CMCC(B)26003(定量)
110-1100CFU/球*10支/盒 该产品是一种含一定数量微生物的冻干品。作为定量的质量控制样本
HBJZDL069 大肠埃希氏菌CMCC(B)44102(定量)
110-1100CFU/球*10支/盒 该产品是一种含一定数量微生物的冻干品。作为定量的质量控制样本
HBJZDL068 白色念珠菌CMCC(F)98001(定量)
110-1100CFU/球*10支/盒 该产品是一种含一定数量微生物的冻干品。作为定量的质量控制样本
HBJZDL079 生孢梭菌CMCC(B)64941(定量)
110-1100CFU/球*10支/盒 该产品是一种含一定数量微生物的冻干品。作为定量的质量控制样本
HBJZDL018 枯草芽孢杆菌CMCC(B)63501(定量)
110-1100CFU/球*10支/盒 该产品是一种含一定数量微生物的冻干品。作为定量的质量控制样本
HBJZDL067 铜绿假单胞菌CMCC(B)10104(定量)
110-1100CFU/球*10支/盒 该产品是一种含一定数量微生物的冻干品。作为定量的质量控制样本
HBJZDL112-1 黑曲霉CMCC(F)98003(定量)
110-1100CFU/球*1支/盒 该产品是一种含一定数量微生物的冻干品。作为定量的质量控制样本
HBJZDL069-1 大肠埃希氏菌CMCC(B)44102(定量)
110-1100CFU/球*1支/盒 该产品是一种含一定数量微生物的冻干品。作为定量的质量控制样本
HBJZDL067-1 铜绿假单胞菌CMCC(B)10104(定量)
110-1100CFU/球*1支/盒 该产品是一种含一定数量微生物的冻干品。作为定量的质量控制样本
HBJZDL061-1 金黄色葡萄球菌CMCC(B)26003(定量)
110-1100CFU/球*1支/盒 该产品是一种含一定数量微生物的冻干品。作为定量的质量控制样本
HBJZDL068-1 白色念珠菌CMCC(F)98001(定量)
110-1100CFU/球*1支/盒 该产品是一种含一定数量微生物的冻干品。作为定量的质量控制样本
HBJZDL079-1 生孢梭菌CMCC(B)64941(定量)
110-1100CFU/球*1支/盒 该产品是一种含一定数量微生物的冻干品。作为定量的质量控制样本
HBJZDL018-1 枯草芽孢杆菌CMCC(B)63501(定量)
110-1100CFU/球*1支/盒 该产品是一种含一定数量微生物的冻干品。作为定量的质量控制样本
HBJZDL112 黑曲霉CMCC(F)98003(定量)
110-1100CFU/球*10支/盒 该产品是一种含一定数量微生物的冻干品。作为定量的质量控制样本
HBJZDL140 新洋葱伯克霍尔德菌CMCC(B)23006(定量)
110-1100CFU/球*10支/盒 该产品是一种含一定数量微生物的冻干品。作为定量的质量控制样本
HBJZDL141 神秘伯克霍尔德菌CMCC(B)23010(定量)
110-1100CFU/球*10/盒 该产品是一种含一定数量微生物的冻干品。作为定量的质量控制样本
HBJZDL142 洋葱伯克霍尔德菌CMCC(B)23005(定量)
110-1100CFU/球*10/盒 该产品是一种含一定数量微生物的冻干品。作为定量的质量控制样本
HBJZDL140-1 新洋葱伯克霍尔德菌CMCC(B)23006(定量)
110-1100CFU/球*1支/盒 该产品是一种含一定数量微生物的冻干品。作为定量的质量控制样本
HBJZDL141-1 神秘伯克霍尔德菌CMCC(B)23010(定量)
110-1100CFU/球*1支/盒 该产品是一种含一定数量微生物的冻干品。作为定量的质量控制样本
HBJZDL142-1 洋葱伯克霍尔德菌CMCC(B)23005(定量)
110-1100CFU/球*1支/盒 该产品是一种含一定数量微生物的冻干品。作为定量的质量控制样本
HBJZ003 鼠伤沙门氏菌ATCC14028(冻干)
Salmonella typhimurium
主要用于阳性对照反应和培养基质量控制等实验
HBJZ087 大肠埃希氏菌ATCC25922(冻干)
Escherichia coli
主要用于阳性对照反应和培养基质量控制等实验
HBJZ092 福氏志贺氏菌ATCC12022(冻干)
Shigella flexneri
主要用于阳性对照反应和培养基质量控制等实验
HBJZ018 枯草芽孢杆菌CMCC63501(冻干)
Bacillus subtilis
主要用于阳性对照反应和培养基质量控制等实验
HBJZ098 蜡样芽孢杆菌ATCC11778(冻干)
Bacillus cereus
主要用于阳性对照反应和培养基质量控制等实验
HBJZ061 金黄色葡萄球菌CMCC26003(冻干)
Staphylococcus aureus
主要用于阳性对照反应和培养基质量控制等实验
HBJZ067 铜绿假单胞菌CMCC10104(冻干)
Pseudomonas aeruginosa
主要用于阳性对照反应和培养基质量控制等实验
HBJZ051 金黄色葡萄球菌ATCC6538(冻干)
Staphylococcus aureus
主要用于阳性对照反应和培养基质量控制等实验
HBJZ091 粪肠球菌ATCC29212(冻干)
Enterococcus faecalis
主要用于阳性对照反应和培养基质量控制等实验
HBJZ020 乙型副伤寒沙门氏菌CMCC50094(冻干)
Samonella paratyphi B
主要用于阳性对照反应和培养基质量控制等实验
HBJZ105 铜绿假单胞菌ATCC9027(冻干)
Pseudomonas aeruginosa
主要用于阳性对照反应和培养基质量控制等实验
HBJZ017 铜绿假单胞菌ATCC27853(冻干)
Pseudomonas aeruginosa
主要用于阳性对照反应和培养基质量控制等实验
HBJZ069 大肠埃希氏菌CMCC44102(冻干)
Escherichia coli
主要用于阳性对照反应和培养基质量控制等实验
HBJZ070 产气肠杆菌CMCC45103(冻干)
Enterobacter aerogenesCMCC45103
主要用于阳性对照反应和培养基质量控制等实验
HBJZ120 溶藻弧菌CICC21664(冻干)
V. alginolyticusCICC21664
主要用于阳性对照反应和培养基质量控制等实验
HBJZ119 金黄色葡萄球菌ATCC29213(冻干)
Staphylococcus aureusATCC29213
主要用于阳性对照反应和培养基质量控制等实验
HBJZ118 都柏林沙门氏菌CICC21497(冻干)
主要用于阳性对照反应和培养基质量控制等实验
HBJZ075 甲型副伤寒沙门氏菌CMCC(B)50093(冻干)
主要用于阳性对照反应和培养基质量控制等实验
HBJZ072 表皮葡萄球菌CMCC(B)26069(冻干)
Staphylococcus EpidermidisCMCC26069
主要用于阳性对照反应和培养基质量控制等实验
HBJZ076 痢疾志贺氏菌CMCC51252(冻干)
Shigalla DysenteriaCMCC51252
主要用于阳性对照反应和培养基质量控制等实验
HBJZ063 肠炎沙门氏菌CMCC(B)50746(冻干)
Salmonella enteritidisCMCC50746
主要用于阳性对照反应和培养基质量控制等实验
HBJZ107 阴沟肠杆菌ATCC23355(冻干)
Enterobacter cloacaeATCC23355
主要用于阳性对照反应和培养基质量控制等实验
HBJZ085 创伤弧菌ATCC27562(冻干)
Vibrio VulnificusATCC27562
主要用于阳性对照反应和培养基质量控制等实验
HBJZ007 小肠结肠炎耶尔森氏菌ATCC23715(冻干)
Y.enterocoliticaATCC23715
主要用于阳性对照反应和培养基质量控制等实验
HBJZ121 河流弧菌CICC21612(冻干)
VibriofluvialisCICC21612
主要用于阳性对照反应和培养基质量控制等实验
HBJZ082 阪崎肠杆菌ATCC29544(冻干)
Enterobacter sakazakiiATCC29544
主要用于阳性对照反应和培养基质量控制等实验
HBJZ089 单增李斯特氏菌ATCC19114(冻干)
Listeria monocytogenes ATCC19114
主要用于阳性对照反应和培养基质量控制等实验
HBJZ009 空肠弯曲菌CICC22936(冻干)
Campylobacter jejuni CICC22936
主要用于阳性对照反应和培养基质量控制等实验
HBJZ066 植物乳杆菌CGMCC1.557(冻干)
Lactobacillus plantarunCGMCC1.557
主要用于阳性对照反应和培养基质量控制等实验
HBJZ058 乙型溶血性链球菌CMCC32210(冻干)
β-Hemolytic Sreptococcs CMCC32210
主要用于阳性对照反应和培养基质量控制等实验
HBJZ093 副溶血性弧菌ATCC17802(冻干)
Vibrio Parahemolyticus ATCC17802
主要用于阳性对照反应和培养基质量控制等实验
HBJZ068 白色念珠菌CMCC(F)98001(冻干)
Canidia Albicans CMCC(F)98001
主要用于阳性对照反应和培养基质量控制等实验
HBJZ081 白色念珠菌ATCC10231(冻干)
Canidia Albicans ATCC10231
主要用于阳性对照反应和培养基质量控制等实验
最 新 产 品
 甘露醇卵黄多粘菌素琼脂基础(MYP)(颗粒)
 结晶紫中性红胆盐琼脂(VRBA)(颗粒)(1kg)
 四硫磺酸钠煌绿增菌液(TTB)(颗粒)(1kg)(GB4789.4-2024标准)
 BROLAC琼脂
 MSP培养基(改良的蔗糖蛋白胨琼脂培养基)
 MSP抑菌剂
查看更多>>
 
推 荐 产 品
 
产品目录
九州登录网页中国有限公司 | 关于我们 | 网上商城 | 在线客服 | 联系我们
业务联系电话
   400-0532-596 0532-66087773
   0532-66087762 0532-81935169
邮箱:qdhbywg@vip.126.com
地址:青岛市城阳区锦汇路1号A2栋
产品技术咨询
  工作日(周一至周六8:00-18:00):
  18562658263 13176865511
  其它时段:13105190021
投诉与建议:13105190021 13006536294
(注:以上手机号均与微信同号)